四环素牙是怎么造成的,如何预防?怎样才能变白
发布时间:2023-03-02 08:46:45 来源:96845 编 辑:9万精品
|
四环素牙是指由于孕妇或儿童在牙齿发育期内长期使用四环素类药物(如四环素、土霉素、甲氧苄啶等)而导致的牙齿颜色发生变化,通常呈现为淡黄色或淡棕色。四环素牙是一种永久性的牙齿瑕疵,可能会对患者的口腔美观和心理健康造成影响。四环素牙的发生原因是四环素类药物在牙齿发育期内聚集在牙本质和牙釉质中,阻碍了牙本质和牙釉质的正常发育和成熟。四环素类药物在牙齿发育期内使用时间越长、剂量越大、使用时期越早,可能会导致四环素牙的发生率越高。因此,孕妇和儿童在使用四环素类药物时应特别注意。
预防四环素牙的方法包括:
儿童和孕妇在使用四环素类药物之前应咨询医生,尽量避免使用四环素类药物,或者根据医生的建议适当调整用药剂量和时间。对于那些不可避免需要使用四环素类药物的孕妇和儿童,应在医生的指导下使用,避免过量或长期使用。
定期口腔检查,以及定期清洁和洁牙,有助于发现和预防牙齿疾病的发生。饮食健康,少吃甜食和高糖饮料,有助于预防龋齿和其他口腔健康问题。
![]()
四环素牙变白的方法:
漂白:牙齿美白可以使牙齿的颜色变浅,但对于四环素牙,漂白通常不能完全消除颜色变化。漂白通常在牙医办公室进行,可以使用化学漂白剂或激光漂白。
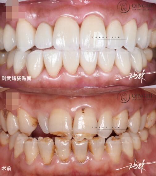
瓷贴面(最常见的修复方式):瓷贴面是一种覆盖牙齿表面的薄片,可以改变牙齿的形状和颜色。瓷贴面通常需要在牙医办公室制作,需要牙医削减牙齿表面的一小部分,以便贴合瓷贴面。
牙齿矫正:通过正畸治疗可以改变牙齿的排列和位置,有时可以减少四环素牙的可见程度。
|



