可乐牙图片大全,可乐牙是怎么形成的?
发布时间:2022-09-20 11:27:33 来源:96845 编 辑:9万精品
|
所谓的“可乐牙”指长期饮用碳酸饮料牙齿表面被酸蚀、软化而形成的蛀牙,可乐的pH值比较低,属于高酸性的饮料。而我们牙釉质(牙齿表面那层最坚硬。因为物质)脱矿的临界pH值大约为5.5。长期喝可乐容易降低我们口腔中的pH值,造成牙釉质脱矿。很多人都爱喝可乐,但是怎么喝可乐才能将可乐对口腔的危害降到最低呢?给出5点建议:1.喝完可乐喝点白水漱漱口。2.喝可乐时使用吸管也是一个不错的选择。3.喝完可乐不要马上刷牙。4.每天认真刷牙用牙线。5.定期涂氟。
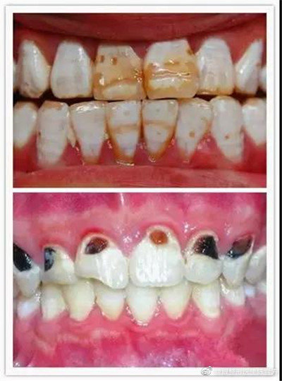
可乐牙长什么样子呢?给大家放一些图: ![]() 牙齿的主要成分为羟基磷酸钙,当频繁喝碳酸饮料,酸性物质作用于牙釉质,可以直接溶解牙齿中的矿物晶体。我们看“可乐牙”有一个明显的特征就是都从牙齿的根部(即牙龈处)开始腐烂。 ![]() 再来一个可乐牙的图,这种腐烂掉的地方也叫“可乐龋”。 ![]() 牙齿在可乐(碳酸饮料)中浸泡5天会发生什么变化呢?看下图 ![]() 那么如果得了可乐牙如何治疗呢?目前有2种方案,一个是树脂充填,一个是全瓷贴面。
首先我们第一步,要把这些龋坏黑色一些病变的组织一定要去干净,去干净以后的,进行树脂充填,把缺损的位置,用我们跟牙体相一致的颜色的一个树脂来进行一个恢复就可以了。
这种是比较简单的,但是因为牙齿呢和树脂的颜色差,会影响美观,所以如果说我们想做的更好的话,可以推荐做全瓷贴面,全瓷贴面只要贴在牙齿表面一样可以恢复牙齿的一个正常的一个形态。
![]() |







